
For those who don’t know, multicystic dysplatic kidney (mcdk) is a condition that doesn’t receive the awareness in which it deserves.
Multicystic dysplastic kidney is a condition in which one or both kidneys fail to fully evolve during fetal development. During the stage in which kidneys develop either one, or sometimes even both kidneys don’t form the way they are supposed to causing cyst and leaving scar tissue. In this case the cyst and scar tissue damage the kidney so bad that the kidney becomes unfunctional. This unfunctional kidney then does one of two things, it either shrinks down and disappears forever or it could possibly have to be medically removed. This condition is found in more boys than girls, and is usually found in the left kidney.
Are there different types of this condition?
There are two types of mcdk, you have unilateral and bilateral. Most children born with mcdk end up with unilateral in which they will have one good kidney, and another with little to no funtion. In this case as stated previously, the nonfuctional kidney will eventually shrink down or get removed so that the working kidney grows larger. The growth of the ‘good’ kidney is a sign that it is fully functioning and has taken on the role of both kidneys. Children born with unilateral mcdk could live completely normal snd healthy lives, and no one would ever know they have the condition. Bilateral mcdk is a little different, but it is exactly what it sounds like. Bilateral meaning both kidneys have little to no function at all, which could possibly become fatal. Fatality occurs when your childs kidney’s have 0 fuction which. The lack of function in either kidney prevents them from producing urine. For those who don’t know urine produced by the kidneys contribute to the amniotic fluid that help with the development of your a newborns lungs. Without urine, you lack amniotic fluid which cause baby’s lungs to be underdeveloped during birth.Within researching the topic I have learned that not all cases of bilateral mcdk have ended in fatality. I would encorgae anyone dealing with bilateral mcdk to do plenty or research and ALWAYS ask questions. Find out what can be done and always get a second opinion before you make decisions.
When and how will I know if my baby has this condition? Is it hereditary? What are the causes?
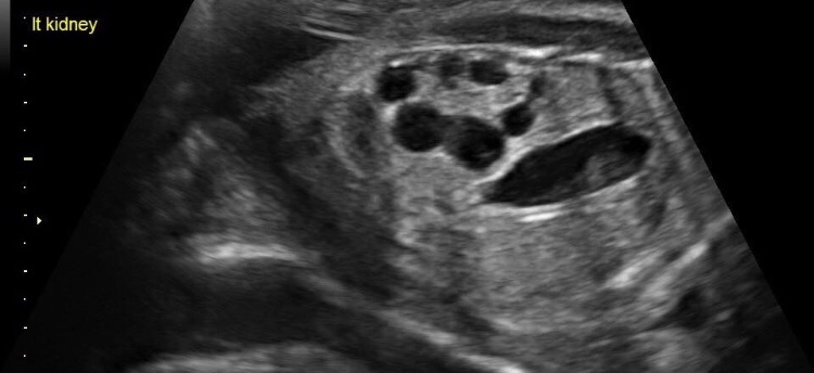
MCDK can be found as early as twenty-three weeks via ultrasound. Yes,it can be genetic, but it is very rare that the baby has inherited from his/her family member(s). This condition has nothing to do with anything mom did or didn’t do. Lack of development in the kidneys is unpreventable.
Is there a treatment? What are some issues that come with mcdk? How can I as the parent help?
Unfortunately mcdk is untreatable, there is nothing that could be done to save your childs nonfunctioning kidney. Because this is untreatable its important that we keep the good kidney as healthy as possible. If not your child is at risk for other issues such as bladder and urinary tract infections. As a parent we can help. Taking our children to regular appointments with their primary care providerand their kidney specialist is the most important thing we as parents can do. Making sure they are eating healthy and watch their weight. Too much weight gain is not good for a person with only one kidney. We can also help by making sure your child doesn’t get dehydrated. We also have to be careful when your child starts to become active in sports.
What does this mean for my child?
This is just a condition, like all other medical conditions it does not define who your child is. Let them have that slice of cake or go play that sport they love it won’t hurt. As parents we want to protect them, but we should never keep them from becoming the person they wish to become simply because they have mcdk. I was told by Z’s doctor there are plenty of people in the world who live with one kidney and they dont even know it. That doesn’t stop them from living their best lives, so why should it stop your childs? “If you wouldn’t stop him from riding a bike after he falls and skins his knee, don’t stop him from showing you he can do anything else.” Tust the process.